We specialize in creating confident, healthy smiles using the latest orthodontic innovations.
Proudly serving the local community, our experts of Austin orthodontics offer customised treatments for children, teens, and adults – including advanced and affordable clear aligner therapy with Angel Aligner®, a cutting-edge alternative to Invisalign® in Austin.
With a foundation in translational research in dentofacial orthopedics and orthodontics, Dr. Pornpan Hiranpradit, DDS, Cert in Orthodontics and Dentofacial Orthopedics, Board Certified by the American Board of Orthodontics, brings a refined balance of clinical precision and aesthetic artistry to modern orthodontic care.
Dedicated to the philosophy that every smile is both a science and an art form, Dr. Pan combines evidence-based orthodontic principles with an elevated attention to facial harmony, balance, and natural expression. Her approach is rooted in innovation, guided by function, and shaped by an uncompromising eye for detail.
Each treatment is thoughtfully designed and individually tailored, reflecting a commitment to excellence, comfort, and long-term stability. Patients experience care that is not only advanced and precise, but also deeply personalized—where trust, compassion, and aesthetics converge.
At the core of Dr. Pan’s practice is a belief in creating timeless smiles that enhance confidence while respecting the unique beauty of every face.
We also offer comprehensive care for children through our Austin family orthodontics program, ensuring positive and effective early treatment experiences.
Go with what matches your needs and lifestyle!
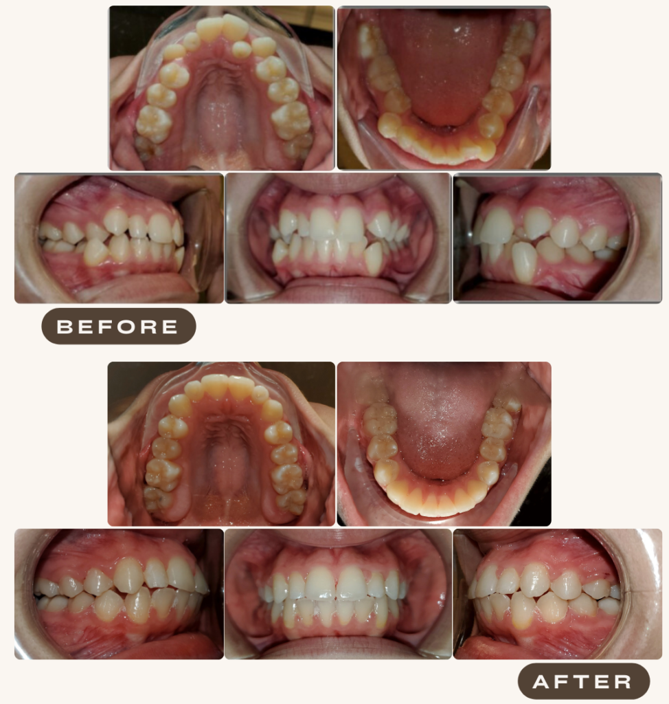
Smiles Transformed with Expert Orthodontic Care












Located in North Austin, Texas, our orthodontic office blends modern technology with personalized care and affordable treatment options. Whether you’re interested in clear aligners, traditional braces in Austin, TX, early intervention orthodontics, or just a new set of clear dental retainers, our experienced team is here to help you achieve the smile you’ve always wanted.
We believe everyone deserves access to an affordable orthodontist in Austin who provides transparent, compassionate care tailored to individual needs. If you’re searching online for orthodontics near me, Thousand Smiles is your trusted destination for excellence and innovation.
Phawadee PantrakulJune 14, 2025Trustindex verifies that the original source of the review is Google. I originally came here just for a new retainer after losing mine, and I was so impressed that I transferred all my ortho care to this office. Friendly, thorough, and fast service! Highly recommend to anyone looking for a clean, trustworthy orthodontist in Austin. Anna FloresMay 19, 2025Trustindex verifies that the original source of the review is Google. Amazing service, Dr pan was so nice always explained thoroughly what she was doing throughout my whole treatment. Highly recommend! Novi TMay 17, 2025Trustindex verifies that the original source of the review is Google. Dr. Pan took the time to explain what she was doing, offered helpful tips, and made sure I felt completely at ease the entire time. My teeth felt incredibly clean afterward, and I left feeling really well cared for. The staff was friendly, the office was spotless, and the whole visit was smooth from start to finish. Highly recommend Dr. Pan if you’re looking for someone who truly goes above and beyond—even for a simple cleaning! Erin RodriguezMay 15, 2025Trustindex verifies that the original source of the review is Google. I’ve always felt self-conscious about the gaps in my teeth and one tooth that stuck out noticeably. I started bringing my niece to her orthodontic appointments with Dr. Pan and was really impressed by the care and results I saw. Seeing her work firsthand gave me the confidence to start treatment myself — and I’m so glad I did. In less than a year, my smile was completely transformed. I finally feel confident showing my teeth, and I couldn’t be happier with the results. Now that Dr. Pan is opening her own office, I’m thrilled for her and highly recommend anyone considering orthodontic treatment to come here. You’ll be in the best hands! nayeli salas mataMay 6, 2025Trustindex verifies that the original source of the review is Google. I had braces with Dr. Pan when she was practicing in San Antonio. I was a transfer patient from another orthodontist, and the difference in care was immediately noticeable. Dr. Pan personally handled most of my adjustments, unlike other offices where assistants do most of the work. I was so impressed with her attention to detail and professionalism that I brought both my younger brother and sister to be treated by her as well. I’m thrilled she’s opening her own office — she truly deserves it! Highly recommend Dr. Pan to anyone looking for exceptional orthodontic care.
Quality dental care should never feel out of reach. We offer flexible financing options to help you move forward with the treatment you need—without unnecessary stress or surprises.
It’s never too early or too late to invest in your smile. Book your orthodontic consultation in Austin today and see why our patients consider us the best orthodontists in Austin for lasting, confident results.
You may need orthodontic treatment if you experience crowding, gaps, overbite, underbite, or difficulty cleaning your teeth effectively. A consultation at Thousand Smiles can determine the best solution.
Both systems use clear, removable aligners to move teeth gradually. Angel Aligner offers a similar aesthetic and comfort level as Invisalign, with customized treatment plans for the best results.
During your consultation, the doctor will examine your teeth, review X-rays, discuss your goals, and recommend the most effective treatment options for your unique needs.
Treatment time depends on individual cases. Most patients complete their orthodontic journey within 12 to 24 months, though minor corrections may take less time.
Patients choose the Thousand Smiles team for their attention to detail, innovative approach, and track record of creating confident, functional smiles.